
Researchers have identified a new underlying cause of fragile bones in developing fetuses, this one apparently associated with maternal Ehlers-Danlos Syndrome (EDS), according to a news release propagated by the American Association for the Advancement of Science.
The paper behind the press release underscores the pitfalls of diagnosing abuse by default when a child with fractures in different stages of healing tests negative for known genetic conditions that predispose to fragile bones.
The original article ran in the journal Children: Fetal Fractures in an Infant with Maternal Ehlers-Danlos Syndrome, CCDC134 Pathogenic Mutation and a Negative Genetic Test for Osteogenesis Imperfecta, by Michael F. Holick, Arash Shirvani, and Nipith Charoenngam
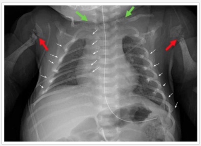
The article is a case report from the Ehlers-Danlos Clinical Research Program at the Boston University Medical Campus, where researchers examined ultrasounds of the developing fetus at several points during gestation and identified what looked like fractures suffered in utero. X-rays after birth confirmed the findings. The boy tested negative for osteogenesis imperfecta (OI) and other known causes of fragile bones, including vitamin D deficiency. The authors note:
If this mother had brought in her son for medical care later in his infancy without prior diagnosis of in utero fractures, these X-ray findings would almost certainly have resulted in the diagnosis of nonaccidental trauma.
Citing other abuse diagnoses based on fractures in children of EDS parents, the authors point to an “urgent need for further investigations to identify additional causative genetic variants for skeletal fragility, including yet to be identified genes associated with a well-recognized bone fragility disorder associated with a genetic defect of the collagen–elastin matrix: EDS.”